Dientes fracturados: Los traumatismos más comunes y su tratamiento

Entre los traumatismos dentales más frecuentes en la población mundial se destacan los dientes fracturados. Según las estadísticas, entre un 4 y un 30% de las personas han sufrido aunque sea alguna vez esta alteración, siendo frecuente en las edades más jóvenes entre los siete y los once años de edad.

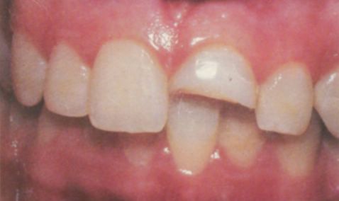
Por lo general, este tipo de traumatismo suele afectar a uno o varios dientes centrales, sobre todo los incisivos superiores por encontrarse más propensos a recibir primero los golpes. Aunque algunas piezas son más propensas que otras a fracturarse puesto que poseen una dureza menor.

En el ámbito odontológico se discriminan diversos tipos de fractura dental, como la infracción que es una mínima lesión que aparece como líneas de fractura en el esmalte pero sin sufrir una pérdida de sustancia, por lo que no requiere un sistemático tratamiento.

También puede encontrarse una fractura no complicada de corona. En este caso se puede afectar el esmalte pero no existe una exposición bulbar. Entonces suele ser frecuente que se comience un tratamiento dirigido a proteger la dentina con hidróxido de calcio para luego restaurar la anatomía coronal con bandas de ortodoncia, coronas de acero inoxidable o un material compuesto.

Dentro de las fracturas dentales pueden encontrarse además las fracturas complicadas de corona. En estas se ha contaminado el tejido pulpar con el medio oral debido a la exposición traumática. En estos casos deberá considerarse el tiempo transcurrido desde el traumatismo, así como la atención dental recibida, el tamaño de la exposición pulpar, la madurez del ápice, el estado de vitalidad pulpar y la concomitancia con otras lesiones cercanas. Así, resulta frecuente implementar una protección pulpar directa o una pulpectomía acompañada de un tratamiento al conducto.

Por último, es usual encontrar la fractura de raíz o total en la que la lesión ha comprometido la raíz del diente afectando la dentina, el cemento y el tejido pulpar. Como resultado se pierde la pieza dental y se deberá implementar un tratamiento para recolocar el fragmento dental perdido.

Imagen del artículo

Dientes fracturados: Los traumatismos más comunes y su tratamiento
  Consejos, Enfermedades, Medicina