Nuevos descubrimientos en el tratamiento del glioblastoma

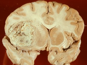
El glioblastoma es un tumor en el cerebro bastante raro y agresivo que generalmente deja muy pocas esperanzas a la persona que lo padece. Este tumor puede aparecer en cualquier edad aunque normalmente se aprecia en las personas que rondan los 55 años. El problema principal es que el glioblastoma casi nunca brinda signos precoces sino que aparece de forma súbita con convulsiones y otros signos neurológicos.

A partir del diagnóstico, la esperanza de vida varía entre 6 meses y 1 año aunque esta puede alargarse si la persona se somete a cirugía (esta se recomienda siempre que el médico esté seguro de que no quedará una lesión cerebral severa) y radioterapia.

No obstante, con el desarrollo de la ciencia y la tecnología, la esperanza de vida de estas personas podría ser mucho mayor. Un estudio realizado recientemente ha demostrado que la quimioterapia adyuvante con temozolomida aumenta la supervivencia. ¿De cuánto? Este tipo de quimioterapia puede brindar hasta dos años de vida. Obviamente, el tratamiento posterior variará en relación con las peculiaridades de cada caso.

Además, otra novedad en el tratamiento del glioblastoma se presentó en el Congreso de la Sociedad Americana de Oncología Clínica en Chicago. Investigadores de la Universidad de California presentaron una vacuna, hasta el momento bajo el nombre de HSPPC-96, que aumenta considerablemente la expectativa de vida.

Esta vacuna se realiza extrayendo una proteína inmunitaria que se encuentra en el tumor del propio paciente. Posteriormente se vuelve a inyectar, junto a otro fármaco. Este tratamiento dura cinco semanas y se aplica después de una intervención quirúrgica realizada para eliminar una parte del tumor.

Las personas que se han sometido a este tratamiento han presentado una media de 11 meses más de vida. Si bien los especialistas esperan que cuando ultimen la vacuna, la expectativa pueda ser aún mayor.

  Consejos, Enfermedades, Estudios, Medicamentos