Causas de la osteoartritis: Más común en deportistas

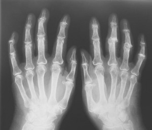
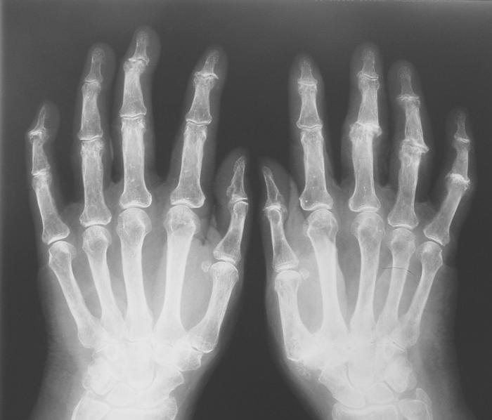
La osteoartritis es uno de los tipos de artritis más comunes en la actualidad. Esta enfermedad afecta a las articulaciones de los huesos, desgastando y rompiendo la capa superior de los cartílagos que recubren las articulaciones. Como resultado la persona experimenta dolor, inflamación, hinchazón y pérdida de movimiento en la articulación, pudiendo en los casos más graves perder el aspecto normal de la articulación.

Entre sus principales causas se encuentra el sobrepeso, el envejecimiento natural, las lesiones y defectos en las articulaciones, los defectos congénitos en el cartílago de la articulación y la fatiga de las articulaciones como consecuencia de algunos trabajos o deportes.

En este sentido, un grupo de especialistas de la Universidad de Berna en Suiza investigaron la condición física y el rango de movimientos de 72 caderas en 37 jugadores profesionales de baloncesto de sexo masculino y de 76 caderas en 38 participantes de control que no habían realizado en deportes de alto nivel.

Como resultado los investigadores explicaron que debido a un desarrollo anormal del fémur (hueso entre la pelvis y la rodilla) por jugar a deportes de alta intensidad como el fútbol y el baloncesto, ponen a niños y adolescentes en un riesgo mayor de sufrir de osteoartritis de cadera. De esta forma, las deformidades de la parte superior del fémur llevan a una rotación más reducida y con mayor dolor durante el movimiento de estos atletas.

Por tal razón, aquellos jóvenes y hombres que habían jugado en un club élite de básquetbol desde los 8 años de edad eran 10 veces más propensos a padecer de osteoartritis de cadera que aquellos que no habían participado regularmente en este tipo de deporte.

En este sentido, los especialistas exhortan a implementar programas de prevención en estos jugadores que detengan el comienzo de la enfermedad pudiendo aumentar exitosamente su rendimiento profesional.

  Consejos, Enfermedades