Ventajas y desventajas de las carrillas de porcelana

Las carrillas de porcelana son un método de reconstrucción dental efectivo que se suele utilizar con frecuencia para arreglar algunas alteraciones de los dientes. Sin embargo, los pacientes que decidan someterse al procedimiento deberán conocer cuáles son las ventajas y las desventajas de las carrillas.

Uno de los beneficios más evidentes de las carrillas de porcelana es que permiten mejorar notablemente el aspecto estético de la persona al modificar la posición, la forma y el color de los dientes. El empleo de este método ofrece además una mayor resistencia a la abrasión, el desgaste o la fractura en comparación con otro tipo de restauraciones (como en el caso del uso de la resina compuesta popularmente conocida como empaste blanco).

Por otra parte, las carrillas de porcelana resultan altamente resistentes al ataque de fluidos orales y específicamente a los daños del alcohol, siendo biocompatible y manteniendo el color y brillo de la dentadura por largos períodos de tiempo. Con este método estético se obtiene también un excelente ajuste al margen del diente de forma que parece casi natural.

Así, la decisión de optar por este método posibilita obtener como resultado una superficie muy pulida que dificultará el depósito de placa bacteriana favoreciendo de esta forma la salud periodontal de manera general.

Sin embargo, los pacientes que deseen someterse a este procedimiento deberán conocer que una vez puestas las carrillas de porcelana, no se pueden reparar, siendo casi imposible también su remoción por lo que hay que destruirlas para poder despegarlas del diente. Requieren además de mucho tiempo de preparación, de laboratorio y luego de colocación, por lo que el tratamiento se extiende por un largo período de tiempo.

También las carrillas resultan realmente frágiles antes de su colocación por lo que su manipulación debe ser en extremo cuidadosa. Además la elección del color deseado será bastante difícil pues el resultado sólo se apreciará realmente cuando haya sido colocada en el diente.

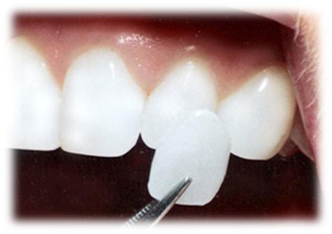
Imagen del artículo

Ventajas y desventajas de las carrillas de porcelana
  Consejos, Medicina