Me sangran las encías: ¿Por qué?

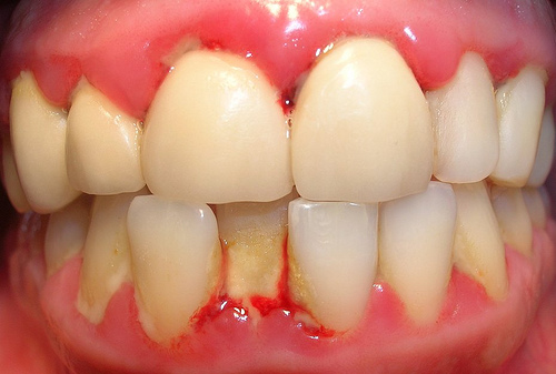
¡Me sangran las encías con frecuencia pero no se por qué! Este es uno de los comentarios más escuchados en las consultas odontológicas. Sin embargo, la mayoría de las personas no conocen que el sangrado inusual de las encías indica que están padeciendo de gingivitis, una enfermedad que usualmente se acompaña de pequeñas hemorragias, inflamación, cambio de color y un ligero dolor.

La gingivitis aparece como consecuencia de la acumulación de sarro (endurecimiento de las placas de bacterias) o cálculos en el margen de las encías. De esta manera, se almacenan bacterias que aunque no producen una irritación de otros tejidos de la cavidad oral, contribuyen a la retención y acumulación de la placa bacteriana y con ella a la infección de las encías.

En relación a las principales causas que ocasionan esta acumulación de bacterias se conoce que el factor más importante es la higiene bucal, pues sin una correcta y sistemática limpieza diaria resulta imposible luchar contra la placa bacteriana cotidiana. Pero además se conoce que el consumo de tabaco es también un factor importante que incide en la aparición de la gingivitis, sobre todo si se consume un número elevado de cigarrillos al día.

También se considera que el estrés y la diabetes mal controlada pueden ocasionar pequeños sangramientos en las encías que terminan por desencadenar la enfermedad. De igual manera, las posiciones dentales inadecuadas, los aparatos de ortodoncia que facilitan la retención de la placa bacteriana y los restos de comida en la boca, y las anomalías en la estructura o forma de los dientes son factores que promueven la aparición de la enfermedad de las encías.

Por tales razones, los especialistas sugieren que se visite anualmente al dentista para revisar las piezas dentales y realizar una limpieza a profundidad que logre eliminar todo resto de bacterias de la boca.

Recientes

Duflegrip

Duflegrip, medicamento mucolítico antigripal indicado para el tratamiento de los síntomas de..Leer más

7 años ago

Paramox

Para qué sirve Paramox , sus efectos adversos, secundarios y cómo tomar el m..Leer más

7 años ago

Nor-crezinc

Para qué sirve Nor-crezinc , sus efectos adversos, secundarios y cómo tomar el m..Leer más

7 años ago

Miopropan

Miopropan, medicamento antiespasmódico y ansiolítico indicado para el tratamiento de patologías d..Leer más

7 años ago

Las contraindicaciones del jengibre

Las contraindicaciones del jengibre son varias a pesar de que los efectos del jengibre para…

7 años ago

Mareos después de un golpe en la cabeza

Un nuevo estudio sobre futbolistas sugiere que la presencia de mareos después de un golpe…

7 años ago

Esta web usa cookies