Categories: ConsejosMedicina

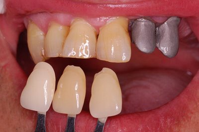
Las carrillas de porcelana: ¿Qué son?

Las carrillas de porcelana son un método de restauración que cubre la cara frontal de los dientes y cuya finalidad por lo general es estética. Este método surgió alrededor de los años ‘20 debido a las exigencias constantes de los artistas de cine por mostrar una dentadura perfecta. No obstante, ha sobrevivido hasta nuestros días aunque, por supuesto, se ha logrado una terminación impecable.

Para emplear este método de reconstrucción se debe grabar la cara interna de la carilla en un ácido para seguidamente emplear un cemento de resina especial que se adhiere a cada pieza dental a través del esmalte grabado. De esta manera, el resultado final es un trabajo estético exquisito donde la dentadura puede alcanzar la blancura, la igualdad y el esmalte que se desee.

Usualmente las carrillas de porcelana son empleadas en el tratamiento de las alteraciones del color de los dientes ya sea por el empleo de fármacos o por el consumo de algunas sustancias como el café o el tabaco. También suele emplearse en las deformaciones de los dientes cuando estos son muy pequeños de forma afilada, muy cortos o simplemente cuando han sido víctimas del desgaste.

Este método reconstructivo puede utilizarse además en los casos de alteraciones en la posición de los dientes cuando se encuentran inclinados hacia la lengua, u ocupan un lugar que no les corresponde. Con mucha frecuencia se utilizan en las fracturas de los bordes de las piezas dentales, cuando poseen ligeros o moderados huecos entre los dientes.

Sin embargo, a pesar de la amplia gama de alteraciones que este método puede minimizar, los especialistas la contraindican en los casos donde se evidencien graves alteraciones en las relaciones esqueléticas intramaxilares, en las rotaciones profundas del diente hacia el labio, así como en los casos de bruxismo, parafunciones no tratadas, casos de multicaries y en las alteraciones graves del esmalte.

Recientes

Duflegrip

Duflegrip, medicamento mucolítico antigripal indicado para el tratamiento de los síntomas de..Leer más

7 años ago

Paramox

Para qué sirve Paramox , sus efectos adversos, secundarios y cómo tomar el m..Leer más

7 años ago

Nor-crezinc

Para qué sirve Nor-crezinc , sus efectos adversos, secundarios y cómo tomar el m..Leer más

7 años ago

Miopropan

Miopropan, medicamento antiespasmódico y ansiolítico indicado para el tratamiento de patologías d..Leer más

7 años ago

Las contraindicaciones del jengibre

Las contraindicaciones del jengibre son varias a pesar de que los efectos del jengibre para…

7 años ago

Mareos después de un golpe en la cabeza

Un nuevo estudio sobre futbolistas sugiere que la presencia de mareos después de un golpe…

7 años ago

Esta web usa cookies